Veneers vorher-nachher: Ein Überblick
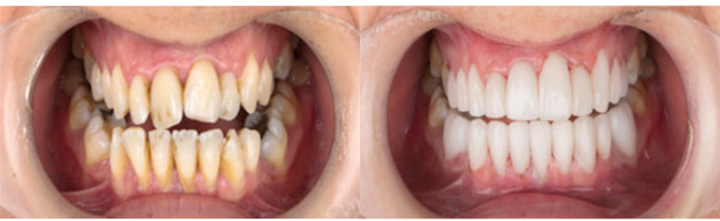
Sie sehen auf dieser Seite vorher-nachher Bilder von Veneers, für die sich Patienten in Absprache mit dem Zahnarzt entschieden haben. Es gibt viele Gründe, weshalb sich Menschen Veneers einsetzen lassen. In den seltensten Fällen ist es der alleinige Wunsch, bei ohnehin vorher guten Zähnen dem perfekten Lächeln der Stars und Sternchen nachzueifern.
Viel öfter werden im Rahmen einer Veneerbehandlung Schäden am vorhandenen Gebiss beseitigt oder vorgebeugt. Ob solche Gründe im Einzelfall ausreichen, dass die Krankenkasse die Kosten ganz oder teilweise übernimmt, besprechen Sie am besten mit Ihrem Zahnarzt. Dieser kann individuell beurteilen, ob Veneers für Sie die beste Option sind oder welche Alternativen, wie Zahnkronen oder Implantate, sonst noch zur Verfügung stehen.
Sollten Sie sich für Veneers entscheiden, können Sie sich gerne an uns wenden. Unsere Partnerkliniken haben schon tausenden von Menschen zu gesünderen und schöneren Zähnen verholfen und nebenbei das Selbstvertrauen und die Lebensqualität der Patienten stark verbessert.
Sie interessieren sich für Veneers? Wir helfen Ihnen, einen erfahrenen Zahnarzt zu finden.
Qunomedical listet nur Zahnkliniken und Zahnärzte auf, die sorgfältig auf Qualität und Preis geprüft wurden. Kontaktieren Sie uns für Ihre 100% kostenlose und unverbindliche Erstberatung.

Positive Auswirkung auf die Zahngesundheit
Veneers sind dünne Schalen aus Keramik oder Kunststoff, die auf die Frontseite der Zähne geklebt werden. Sie können dazu beitragen, schiefe Zähne zu korrigieren und ihnen ein gleichmäßiges, ästhetisches Aussehen zu verleihen. Aber sie können noch mehr:
Schiefstehende Zähne lassen sich nur schwer gründlich reinigen. Zahnbeläge und Zahnfleischentzündungen, Verfärbungen sowie Kariesbildung können die Folge sein. Kommt man mit der Zahnbürste nicht gut an jeden einzelnen Zahn heran, kann dies auf Dauer zu Problemen führen.
Da die Vorbehandlung eines Veneers-Einsatzes das Abschleifen von Zahnschmelz beinhaltet, wodurch mehr Platz zwischen den einzelnen Zähnen entstehen kann, kann dieser Schritt die Mundhygiene verbessern. Erleben Patienten durch Veneers außerdem einen deutlich sichtbaren vorher-nachher Effekt, steigt die Motivation, die neuen Zähne dauerhaft gründlich zu pflegen.
Ein weiterer Vorteil von Veneers ist, dass sie die Reinigung und Pflege der Zähne erleichtern. Durch ihre glatte Oberfläche sind sie weniger anfällig für Verfärbungen und Zahnbeläge, was die Zähne sauberer und gesünder macht. Zusätzlich können Veneers dazu beitragen, kleine Lücken und Risse in den Zähnen zu verbergen, was die Mundhygiene verbessert und die Entstehung von Karies verhindern kann.

Steigerung des Selbstwertgefühls
Zähne, mit denen der oder die PatientIn hadern und die das Selbstwertgefühl negativ beeinträchtigen, können durchaus eine Begründung für eine medizinische Indikation für Veneers sein.
Ein geringes Selbstwertgefühl kann zu mentalen Problemen wie einer Depression, Angststörung oder Schlaflosigkeit führen. Die minimalinvasive Behandlung mit Veneers stellt eine unkomplizierte Möglichkeit dar, den Zähnen dauerhaft ein gesundes Aussehen zu verleihen. Ein oder eine PatientIn, die aufgrund des Aussehens der Zähne vorher im Umgang mit anderen zurückhaltend war, kann nach der Behandlung ein ganz anderes Lebensgefühl erfahren.

Schutzschicht für die Zähne
Veneers gibt es aus Keramik oder Kunststoff. Insbesondere sind Keramik Veneers extrem stark und resistent gegen Risse. Einmal fest mit den Frontseiten der Zähne verklebt, halten sie nicht nur viele Jahre (bis zu 20), sondern schützen auch die echten Zähne vor natürlichen Abnutzungserscheinungen.
Der Aufwand, Veneers sauber zu halten, ist dabei geringer als bei natürlichen Zähnen. Durch die sehr glatten Oberflächen können sich keine Verfärbungen wie durch Kaffee- oder Rotweingenuss absetzen.
Ihr Weg zu gesünderen Zähnen
Der erste Ansprechpartner wenn es um Ihren Wunsch geht, sich Veneers einsetzen zu lassen, kann Ihr behandelnder Zahnarzt sein.
Können oder möchten Sie dieses Thema nicht mit ihm oder ihr besprechen, können Sie uns unverbindlich kontaktieren und wir versuchen gemeinsam die für Sie beste Veneerbehandlung im In- oder Ausland zu finden.
Quellen:
Camillo D’Arcangelo (2012): "Clinical evaluation on porcelain laminate veneers bonded with light-cured composite: results up to 7 years". Zuletzt aufgerufen am 14.12.2022.
Arcelino Farias-Neto (2015): "Esthetic Rehabilitation of the Smile with No-Prep PorcelainLaminates and Partial Veneers". Zuletzt aufgerufen am 14.12.2022.
B.T. Rotoli (2013): "Porcelain Veneers as an Alternative for Esthetic Treatment: Clinical Report". Zuletzt aufgerufen am 14.12.2022.
Sie interessieren sich für Veneers? Wir helfen Ihnen, einen erfahrenen Zahnarzt zu finden.
Qunomedical listet nur Zahnkliniken und Zahnärzte auf, die sorgfältig auf Qualität und Preis geprüft wurden. Kontaktieren Sie uns für Ihre 100% kostenlose und unverbindliche Erstberatung.

Patientenmanager
Frieda
Ihr persönlicher Patientenmanager
Kontaktieren Sie uns
Sie sind sich noch unsicher? Durch ein persönliches Gespräch können wir Ihre individuellen Fragen bestmöglich beantworten und Ihnen bei der Entscheidungsfindung helfen. Wir sind an Ihrer Seite. Lassen Sie uns den richtigen Arzt für Sie gemeinsam finden.
