Wie lange hält eine Zahnkrone?
Zahnkronen sind eine sehr beliebte Methode, beschädigte Zähne wiederherzustellen. Doch wie lange hält eine Zahnkrone? Laut der Techniker Krankenkasse kann man von 10-15 Jahren ausgehen, danach muss die Krone meist ersetzt werden. Dennoch gibt es auch Patienten, welche Zahnkronen über 20 Jahre im Kiefer behalten, ohne dass es Probleme gibt.
Zahnkronen sind keine neuartige Art der Behandlung. Tatsächlich reicht das Verschönern unserer Zähne mit Gold bis zu 4.000 Jahre in die Vergangenheit zurück! Doch während der Trend damals hauptsächlich Reichtum und Schönheit glorifizieren wollte, sind Zahnkronen heute mehr eine Art “praktische” Lösung, um die Gesundheit der Zähne aufrechtzuerhalten. Doch wie kann man die Frage “Wie lange halten Zahnkronen?” nun am besten beantworten? Nicht ganz einfach, da die Haltbarkeit von verschiedenen Faktoren abhängt.
Was sind Zahnkronen?
Zahnkronen sind prothetische Kappen, die auf einem beschädigten Zahn sitzen. Normalerweise bestehen sie aus Metall oder Keramik und werden eingesetzt, um das Aussehen beschädigter oder kariöser Zähne zu verbessern. Sie werden auch häufig zur Abdeckung eines Zahnimplantats eingesetzt.
Für welche Art von Krone Sie sich entscheiden, hängt von folgenden Dingen ab: aus welchem Grund Sie diese einsetzen lassen möchten, welche Zähne sie bedecken sollen, wie die Aufklärung durch Ihren Zahnarzt ist und wie hoch Ihr Budget ist. Keramik-Metall-Kronen zum Beispiel bieten ein ausgewogenes Verhältnis zwischen Ästhetik und Haltbarkeit, wobei das Metall für Festigkeit sorgt und das Keramikmaterial ein natürliches Aussehen verleiht.
Wie lange hält eine Zahnkrone?
Die meisten Zahnkronen halten zwischen 5 und 15 Jahren. Diese Regel ist jedoch nicht in Stein gemeißelt, da viele Patienten über 20 Jahre lang mit ihren Zahnkronen zufrieden sind. Auch wenn es keine klare Antwort auf die Frage “wie lange sollte eine Zahnkrone halten?” gibt, so sind diese keinesfalls für die Ewigkeit und müssen ab einem bestimmten Zeitpunkt ersetzt werden.
Verschiedene Arten von Zahnkronen und deren Haltbarkeit
Vielleicht hören Sie von Ihren Zahnärzten, dass Ihre Kronen ein Minimum an Jahren halten sollten – doch dies hängt von verschiedenen Faktoren ab, insbesondere der Art von Zahnkrone, für die Sie sich entscheiden.
Wie lange hält eine Zirkonkrone?
Oft auch als Keramikkrone bezeichnet, sehen Zirkonkronen besonders natürlich aus – und halten auch besonders lange. Gemacht aus einem Stoff, welcher sich auch Zirkonoxid nennt, sind Zirkonkronen im Vergleich zu anderen Keramikoptionen weniger anfällig für Brüche oder Zersplittern. Eine Zirkonkrone sollte zwischen 10 und 15 Jahren halten, vorausgesetzt, dass eine gute Mundhygiene besteht.

Zirconia crowns before and after at Dentaglobal in Izmir, Turkey.
Wie lange hält eine Metallkrone?
Häufig aus Gold gefertigt, werden Metallkronen bei vielen Patienten zur Rettung von Backenzähnen eingesetzt. Sie sind stark und beständig und weitaus besser dafür geeignet, Brüchen zu widerstehen. Dies gilt zumindest im Vergleich zu ihren aus Keramik bestehenden Gegenstücken. In einer Studie von 2015 zeigte sich, dass Goldkronen eine Überlebensrate von 96 % über einen Zeitraum von 10 Jahren, 87 % über 20 Jahre und 74 % über 30 Jahre hatten.

Metallkronen vor und nach der Behandlung am Evergreen Dental in Budapest, Ungarn.
Wie lange hält eine PFM (Porcelain-Fused-to-Metal) Krone?
PFM Kronen sind eine sehr beliebte Wahl, wenn es um Zahnkronen geht. Um diese herzustellen, wird eine bestimmte Art von Keramik – Porzellan – mit Metall oder Gold verschmolzen. Auf diese Weise wird die perfekte Balance zwischen Aussehen und Haltbarkeit erreicht.
PFM Kronen halten meist zwischen 5 und 15 Jahren, je nachdem, wie gut Ihre Mundhygiene ist.

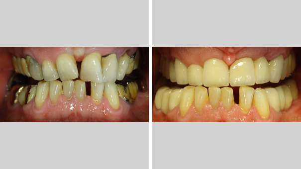
Keramik-Metallkronen vor und nach der Behandlung am DentaPoint in Izmir, Türkei.
Wie lange hält eine provisorische Krone?
Provisorische Kronen werden oft als Platzhalter eingesetzt, bevor eine langfristige Lösung gefunden ist. Meist werden sie aus Akryl oder rostfreiem Stahl hergestellt, und bleiben nur eine kurze Zeit im Mund.
Welche anderen Faktoren spielen eine Rolle bei der Haltbarkeit von Zahnkronen?
Neben dem Material kommen noch ein paar weitere wichtige Faktoren hinzu, wenn es um die Klärung der Frage “Wie lange hält eine Zahnkrone?” geht.
Zu diesen zählen:
Die Gesundheit der behandelten Zähne: Kronen halten auf gesunden Zähnen deutlich länger als auf beschädigten. Hier spielt vor allem das Zahnfleischgewebe in der Nähe des Zahns eine Rolle, sowie die Knochendichte.
Ihre Mundhygiene Routine: Bitte denken Sie daran, Ihre Zähne zweimal am Tag zu putzen sowie Zahnseide zu verwenden. Zahnbelag zwischen dem Zahnfleischrand und der Zahnkrone ist keine Seltenheit. Achten Sie daher besonders auf diesen Bereich, um sowohl Ihre vorhandenen Zähne als auch Ihre Krone in gutem Zustand zu erhalten.
Wie oft Sie zum Zahnarzt gehen: regelmäßige Kontrollen – alle sechs Monate – sind ein wichtiger Bestandteil des Nachsorgeprozesses und helfen dabei, Ihre Kronen so lange wie möglich zu erhalten. Ihr Zahnarzt wird Ihnen mitteilen, wie es um die Gesundheit Ihrer Kronen steht und Ihnen Tipps geben, wie Sie diese am besten versorgen.
Ob Sie mit Ihren Zähnen knirschen: Zähneknirschen kann massive Auswirkungen auf die Haltbarkeit Ihrer Kronen haben. Gerade im Schlaf geschieht dies häufig, und kann auf Dauer Ihre Kronen abnutzen und sie somit instabil machen.
Woher weiß ich, wann meine Zahnkronen ersetzt werden müssen?
Ob eine Zahnkrone ausgetauscht werden muss, wird von Zahnärzten oft mittels Röntgenbild oder CT Scan bestimmt. Es gibt jedoch auch ein paar andere Anzeichen, die für das Ersetzen der alten Krone sprechen.
Schmerzen, Empfindlichkeiten oder Schwellungen rund um die Krone: Obwohl Kronen die natürlichen Zähne komplett verdecken, so ist ein Verfall der Zähne darunter dennoch möglich. Sobald Sie Schmerzen, Schwellungen oder empfindliche Stellen um den Zahn oder die Krone herum spüren, so kann dies ein Zeichen von Fäulnis sein. In diesen Fällen schlägt Ihr Zahnarzt vielleicht vor, die Krone zu entfernen, um den Zahn darunter behandeln zu können. Dies geschieht vor dem Herstellen und Aufsetzen der neuen Krone.
Die Zahnkrone ist instabil: Sollten Sie das Gefühl haben, dass Ihre Krone sich bewegt oder zumindest nicht mehr so stabil ist wie vorher, kann ein Wechsel nötig sein. Gut zu wissen: Besonders klebrige oder schwer zu kauende Lebensmittel können Zahnkronen beschädigen oder verschieben.
Sichtbarer Schaden an der Krone: Auf hartem Essen herumzukauen, oder die Zähne als Werkzeug (zum Öffnen von Packungen beispielsweise) zu benutzen, kann zum Brechen der Krone führen. Je nachdem, wie ernst der Schaden ist, kann Ihr Zahnarzt die Krone eventuell reparieren, ohne diese komplett zu ersetzen.
Alternativen zur Zahnkrone: Bieten Veneers eine langfristige Lösung?
Genau wie Kronen sind Veneers eine beliebte Methode der Zahnrestauration. Obwohl die Kosten von Veneers normalerweise niedriger sind als die von Kronen, halten sie nicht so lange. Kompositveneers beispielsweise sind eine preislich lohnenswerte Lösung, müssen jedoch nach 5 bis 10 Jahren ersetzt werden. Je nach Situation sind Veneers vielleicht keine passende Alternative zu Zahnkronen. Während Zahnkronen den ganzen Zahn bedecken, kleben Veneers nur auf dem vorderen Teil. Wenn es um den Schutz vor Zahnverfall geht, sind Kronen deswegen effektiver als Veneers.
Wie lege ich am besten los?
Bei Qunomedical ist uns vor allem eins wichtig: Ihnen einen patientenorientierten Service anzubieten, der Sie hochwertige Zahnbehandlungen weltweit finden lässt. Egal, ob Sie bloß nach ein paar Informationen suchen, oder bereits Ihre Kronenbehandlung buchen möchten – kontaktieren Sie uns einfach.
Wir arbeiten mit zahlreichen Zahnexperten weltweit zusammen - sei es Dr. Karatepe von der Cinick Dental Clinic in Istanbul, oder Dr. Maretic von der Dentelli Dental Clinic in Split, Kroatien: Sie können sicher sein, dass wir Ihnen nur Experten empfehlen!
✔ 100% kostenlose Beratung: Wir bieten all unseren Patienten eine 100% kostenfreie Erstberatung, egal, ob diese sich später für eine Behandlung entscheiden oder nicht.
✔ Weltbekannte Zahnärzte: Dank Qunomedical können Sie unter den besten Zahnärzten der Welt wählen. Unser firmeneigenes Bewertungssystem, Qunoscore, wertet Zahnärzte basierend auf Aspekten wie Qualifikationen, Erfahrung, Akkreditierungen und Bewertungen von ehemaligen Patienten und mehr aus.
✔ Preisanpassung: Sie haben das gleiche Zahnkronen Behandlungspaket an derselben Klinik anderswo gefunden? Sagen Sie uns Bescheid, und wir passen den Preis an.

Patientenmanager
Frieda
Ihr persönlicher Patientenmanager
Kontaktieren Sie uns
Sie sind sich noch unsicher? Durch ein persönliches Gespräch können wir Ihre individuellen Fragen bestmöglich beantworten und Ihnen bei der Entscheidungsfindung helfen. Wir sind an Ihrer Seite. Lassen Sie uns den richtigen Arzt für Sie gemeinsam finden.
